All before/after photos pictured here are actual cases of Dr. Sami's.
Before and After Full Mouth Rehabilitation

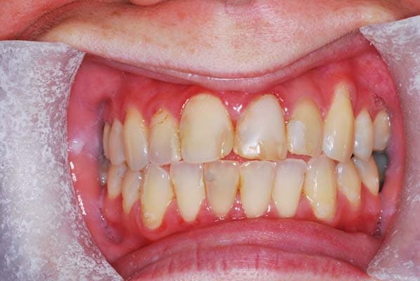
Before Treatment

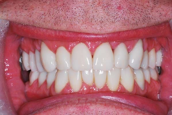
After Treatment

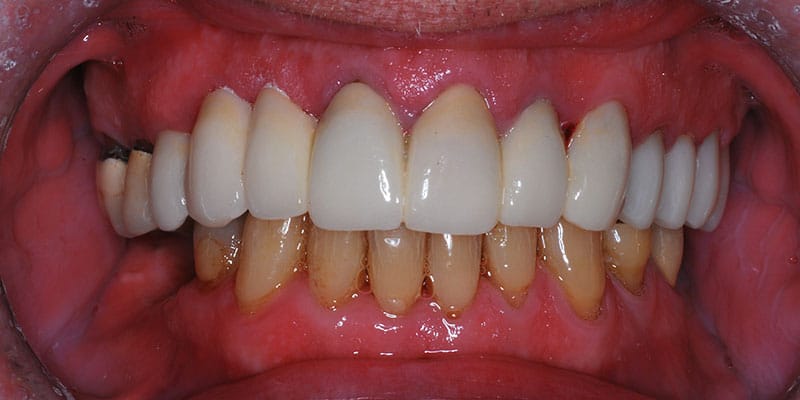
Before Treatment

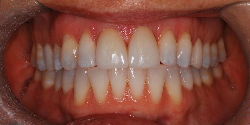
After Treatment

Before Treatment

After Treatment

Before Treatment

After Treatment

Before Treatment

After Treatment

Before Treatment

After Treatment

Before Treatment

After Treatment

Before Treatment

After Treatment

Before Treatment

After Treatment

Before Treatment

After Treatment

Before Treatment

After Treatment

Before Treatment

After Treatment
Before and After Veneers

Before Treatment

After Treatment

Before Treatment

After Treatment

Before Treatment

After Treatment

Before Treatment

After Treatment

Before Treatment

After Treatment

Before Treatment

After Treatment

Before Treatment

After Treatment

Before Treatment

After Treatment
Before and After Dental Crowns

Before Treatment

After Treatment

Before Treatment

After Treatment

Before Treatment

After Treatment

Before Treatment

After Treatment
Before and After Dental Implants

Before Treatment

After Treatment

Before Treatment

After Treatment

Before Treatment

After Treatment

Before Treatment

After Treatment

Before Treatment

After Treatment

Before Treatment

After Treatment
Before and After Dental Bridges

Before Treatment

After Treatment

Before Treatment

After Treatment

Before Treatment

After Treatment
Before and After White Spot Treatment

Before Treatment

After Treatment
Before and After Implant-Supported Dentures

Before Treatment

After Treatment


